- 生化试剂
- ELISA检测
-
抗体蛋白
二抗生物素标记 过氧化物酶(HRP)标记 胶体金试剂 FITC荧光标记 RBITC荧光标记 二抗免疫血清 其它荧光标记二抗 藻红蛋白(PE)荧光标记 胶体金(Gold)标记 SAlexa Fluor荧光系列 碱性磷酸酶(AP)标记 别藻蓝蛋白(APC)荧光标记 其它标记 PE标记二抗 DyLight标记二抗 AU标记二抗 Biotin标记二抗 AMCA标记二抗 Texas Red标记二抗 TRITC标记二抗 HRP标记二抗 未标记二抗 Cy标记二抗 AbBox Fluor标记二抗内参抗体 小分子抗体
- 细胞培养
- 实验耗材
- 仪器设备
- 生化试剂盒
- 小分子试剂
- 基质胶
-
斑马鱼产品
订货时间:周一至周五
订货Q Q:79688691
订货邮件:79688691@qq.com



-
产品货号IM10002
-
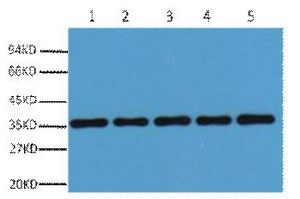
产品名称GAPDH Rabbit Polyclonal Antibody
-
类别抗原抗体
-
推荐应用WB,IHC-P,Elisa
-
反应种属Human,Mouse,Rat,Rb,Ch,Mk,sheep,Xenopus
-
浓度1mg/ml
-
存储缓冲液Liquid in PBS,pH 7.4, containing 50% glycerol,2% BSA and New type preservative N.
-
免疫原Recombinant Protein of GAPDH
-
特异性The antibody detects endogenous GAPDH protein.
-
稀释度WB 1:5000, IHC-P 1:200
-
参考分子量37KD
-
宿主Rabbit
-
背景介绍Glyceraldehyde 3 phosphate dehydrogenase (GAPDH) is well known as one of the key enzymes involved inglycolysis. GAPDH is constitutively expressed in almost all tissues at high levels, therefore antibodies against GAPDH are useful asloading controls
-
纯化The antibody was affinity-purified from rabbit antiserum by affinity-chromatography using specific immunogen.

1.保存:-20℃
2.有效期:1年

2.为了您的安全和健康,请穿好实验服并佩戴一次性手套和口罩操作。
3.实验结果可由多种因素影响,相关处理只限于产品本身,不涉及其他赔偿。
备注:由于产品信息可能会有优化升级,请以实际收货标签信息为准。
-
PCNA Monoclonal Antibody(12D10), HRP Conjugated¥2200.00货号:IM12505
-
Plant actin Monoclonal Antibody(Q30), HRP Conjugated¥2200.00货号:IM12506
-
Rubisco (Large Chain) Monoclonal Antibody(3G7), HRP Conjugated¥2200.00货号:IM12507
-
TBP/TATA Binding Protein Monoclonal Antibody(4H2),HRP Conjugated¥2200.00货号:IM12508
-
α-tubulin Monoclonal Antibody(8F11), HRP Conjugated¥2200.00货号:IM12509