- 生化试剂
- ELISA检测
-
抗体蛋白
二抗生物素标记 过氧化物酶(HRP)标记 胶体金试剂 FITC荧光标记 RBITC荧光标记 二抗免疫血清 其它荧光标记二抗 藻红蛋白(PE)荧光标记 胶体金(Gold)标记 SAlexa Fluor荧光系列 碱性磷酸酶(AP)标记 别藻蓝蛋白(APC)荧光标记 其它标记 PE标记二抗 DyLight标记二抗 AU标记二抗 Biotin标记二抗 AMCA标记二抗 Texas Red标记二抗 TRITC标记二抗 HRP标记二抗 未标记二抗 Cy标记二抗 AbBox Fluor标记二抗内参抗体 小分子抗体
- 细胞培养
- 实验耗材
- 仪器设备
- 生化试剂盒
- 小分子试剂
- 基质胶
-
斑马鱼产品
订货时间:周一至周五
订货Q Q:79688691
订货邮件:79688691@qq.com



-
货号IM72009
-
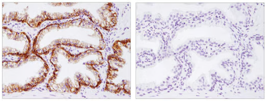
产品名称CAR (D3W3G) Rabbit monoclonal antibody
-
类别抗体产品
-
ClonalityMonoclonal
-
推荐应用WB,IP,IHC,IF
-
反应种属Human
-
存储缓冲液Supplied in 10 mM sodium HEPES (pH 7.5), 150 mM NaCl, 100 µg/ml BSA, 50% glycerol and less than 0.02% sodium azide.
-
稀释度WB 1:1000,IP 1:100, IHC 1:500, IF 1:200
-
预测分子量45-55kDa
-
宿主Rabbit
-
同种型IgG
-
特异性Endogenous
-
纯化Monoclonal antibody is produced by immunizing animals with a synthetic peptide corresponding to residues surrounding Arg328 of human CAR protein.
-
背景介绍The coxsackie virus and adenovirus receptor (CXADR, CAR) is a highly conserved, single-transmembrane glycoprotein and the primary receptor to mediate cellular attachment and infection of coxsackie B viruses and most adenoviruses (1,2). The CAR protein contains a pair of Ig-like domains within the amino-terminal extracellular domain and a carboxyl-terminal PDZ motif (1). Research studies indicate that CAR is a tight junction protein that associates with the ZO-1 scaffold protein and promotes both cell adhesion and restriction of solute and ion movement between cells (2). Endogenous CAR is targeted to the basolateral plasma membrane by a tyrosine-based basolateral sorting signal and clathrin adaptors AP-1A and AP-1B (3). CAR binds junctional adhesion molecule L (JAML) on epithelial cells and neutrophils where it activates PI3K and downstream MAPK kinases to stimulate epithelial γδ T cell proliferation and increase production of TNFα and keratinocyte growth factor (4-6). As a result, the CAR protein plays a potentially critical role in adenoviral gene therapy, immunity, wound repair, inflammation, and cancer therapy (4-6). Additional studies demonstrate that CAR is essential in regulating squamous carcinoma cell growth (7).
-
UniProt IDP78310

1.保存:-20℃
2.有效期:1年

1.我司生产的生化试剂如无特殊标注,基本为非无菌包装,若用于细胞实验,请提前做好预处理。需低温保存的产品,一旦配成溶液,请分装保存,避免反复冻融造成的产品失效。
2.本产品仅供科研使用。请勿用于医药、临床诊断或治疗,食品及化妆品等用途。请勿存放于普通住宅区。
3.为了您的安全和健康,请穿好实验服并佩戴一次性手套和口罩操作。
4.实验结果可由多种因素影响,相关处理只限于产品本身,不涉及其他赔偿。
备注:由于产品信息可能会有优化升级,请以实际收货标签信息为准。