- 生化试剂
- ELISA检测
-
抗体蛋白
二抗生物素标记 过氧化物酶(HRP)标记 胶体金试剂 FITC荧光标记 RBITC荧光标记 二抗免疫血清 其它荧光标记二抗 藻红蛋白(PE)荧光标记 胶体金(Gold)标记 SAlexa Fluor荧光系列 碱性磷酸酶(AP)标记 别藻蓝蛋白(APC)荧光标记 其它标记 PE标记二抗 DyLight标记二抗 AU标记二抗 Biotin标记二抗 AMCA标记二抗 Texas Red标记二抗 TRITC标记二抗 HRP标记二抗 未标记二抗 Cy标记二抗 AbBox Fluor标记二抗内参抗体 小分子抗体
- 细胞培养
- 实验耗材
- 仪器设备
- 生化试剂盒
- 小分子试剂
- 基质胶
-
斑马鱼产品
订货时间:周一至周五
订货Q Q:79688691
订货邮件:79688691@qq.com



-
货号IM72016
-
别名Fibroblast growth factor-binding protein 3 (FGF-BP3 antibody, FGF-binding protein 3 antibody, FGFBP-3)|FGFBP3|C10orf13 antibody
-
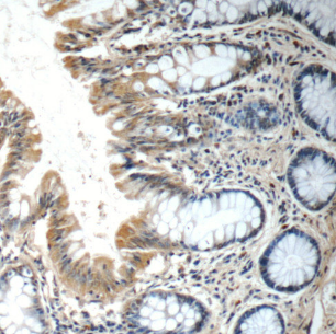
产品名称FGFBP3 Rabbit Polyclonal Antibody
-
状态liquid
-
纯化方法Immunogen affinity purified
-
纯度≥95% as determined by SDS-PAGE
-
克隆性polyclonal
-
亚型IgG
-
免疫原fibroblast growth factor binding protein 3
-
宿主Rabbit
-
反应种属Human, Mouse
-
推荐应用ELISA, WB, IHC, IF
-
UniProt IDQ8TAT2
-
分子量60-65 kDa
-
建议稀释比例WB: 1:500-1:2000; IHC: 1:20-1:200; IF: 1:20-1:200

PBS with 0.02% sodium azide and 50% glycerol pH 7.3, -20℃ for 12 months(Avoid repeated freeze / thaw cycles.)

1.我司生产的生化试剂如无特殊标注,基本为非无菌包装,若用于细胞实验,请提前做好预处理。需低温保存的产品,一旦配成溶液,请分装保存,避免反复冻融造成的产品失效。
2.本产品仅供科研使用。请勿用于医药、临床诊断或治疗,食品及化妆品等用途。请勿存放于普通住宅区。
3.为了您的安全和健康,请穿好实验服并佩戴一次性手套和口罩操作。
4.实验结果可由多种因素影响,相关处理只限于产品本身,不涉及其他赔偿。
备注:由于产品信息可能会有优化升级,请以实际收货标签信息为准。