- 生化试剂
- ELISA检测
-
抗体蛋白
二抗生物素标记 过氧化物酶(HRP)标记 胶体金试剂 FITC荧光标记 RBITC荧光标记 二抗免疫血清 其它荧光标记二抗 藻红蛋白(PE)荧光标记 胶体金(Gold)标记 SAlexa Fluor荧光系列 碱性磷酸酶(AP)标记 别藻蓝蛋白(APC)荧光标记 其它标记 PE标记二抗 DyLight标记二抗 AU标记二抗 Biotin标记二抗 AMCA标记二抗 Texas Red标记二抗 TRITC标记二抗 HRP标记二抗 未标记二抗 Cy标记二抗 AbBox Fluor标记二抗内参抗体 小分子抗体
- 细胞培养
- 实验耗材
- 仪器设备
- 生化试剂盒
- 小分子试剂
- 基质胶
-
斑马鱼产品
订货时间:周一至周五
订货Q Q:79688691
订货邮件:79688691@qq.com



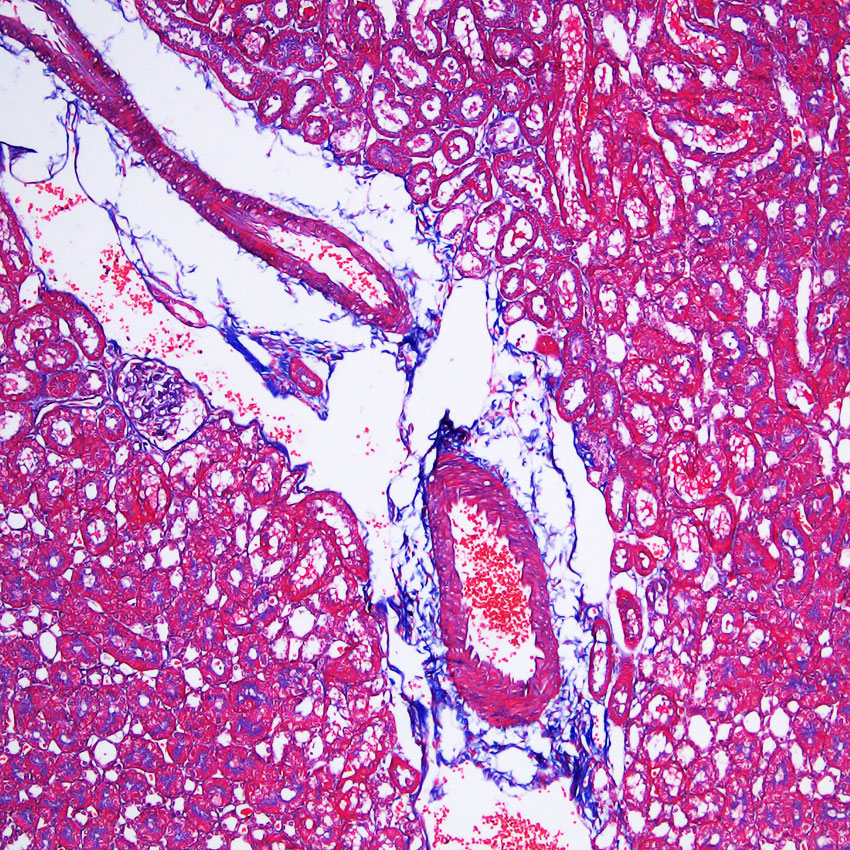
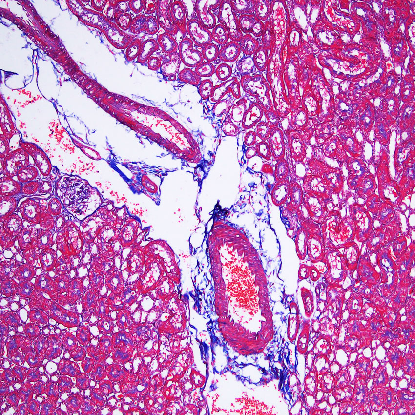
结缔组织狭义上是指其含有的三种纤维:胶原纤维、网状纤维、弹力纤维。而胶原纤维是分布最广、含量最多的一种纤维。Masson 三色染色又称马松染色,是结缔组织染色中最经典的一种方法,是胶原纤维染色权威而经典的技术方法。所谓三色染色通常是指染胞核和能选择性的显示胶原纤维和肌纤维。该法染色原理与阴离子染料分子的大小和组织的渗透有关:分子的大小由分子量来体现,小分子量易穿透结构致密、渗透性低的组织,而大分子量则只能进入结构疏松的、渗透性高的组织。然而,淡绿或苯胺蓝染料的分子量很大,因此 Masson 染色后肌纤维呈红色,胶原纤维呈绿色或蓝色,主要用于区分胶原纤维和肌纤维。
Masson 三色染色试剂盒的特点:
◆染色稳定。
◆容错率高,能在较大染色时间跨度内取得令人满意的结果。
◆色彩清楚鲜艳。
◆使用范围广,适宜于组织的石蜡切片、冰冻切片等染色。
◆所染切片保存时间长且不易褪色。

名称 | 7×50mL | 7×100mL | 保存 | |
试剂(A):Weigert 铁苏木素染色液 | A1:Weigert染液A | 25mL | 50mL | 室温,避光 |
A2:Weigert染液B | 25mL | 50mL | 室温,避光 | |
临用时,取A1、A2等量混合配成Weigert铁苏木素染色液,建议4小时内使用。 | ||||
试剂(B):酸性分化液 | 50mL | 100mL | 室温 | |
试剂(C):Masson蓝化液 | 50mL | 100mL | 室温 | |
试剂(D):丽春红品红染色液 | 50mL | 100mL | 室温,避光 | |
试剂(E):弱酸溶液 | 50mL | 100mL | 室温 | |
试剂(F):磷钼酸溶液 | 50mL | 100mL | 室温,避光 | |
试剂(G):苯胺蓝染色液 | 50mL | 100mL | 室温,避光 |

自备材料
中性福尔马林固定液或S51102-组织细胞固定液、Bouin 固定液、蒸馏水、系列乙醇、二甲苯或环保组织透明脱蜡液、染缸。
操作步骤(仅供参考)
一、石蜡切片
1.切片推荐厚度3-8μm,石蜡切片常规脱蜡至蒸馏水。
2.(可选)临用前1:1混合试剂A1和A2配制Weigert铁苏木素染色液,滴加覆盖切片染色5-10min。
3.(可选)蒸馏水洗去多余染色液,滴加酸性分化液分化5-15s,蒸馏水洗30s。
4.(可选)滴加Masson蓝化液返蓝3-5min,蒸馏水洗30s。
5.滴加丽春红品红染色液染色5-10min。
6.在上述操作过程中按蒸馏水:弱酸溶液=2:1比例配置弱酸工作液,滴加弱酸工作液洗30s。
7.倾去多余液体,滴加磷钼酸溶液处理1-2min。滴加弱酸工作液洗30s。
8.倾去多余液体,滴加苯胺蓝染色液染色1-2min(见注意事项11)。滴加弱酸工作液洗30s。
9.95%乙醇快速脱水2-3s,无水乙醇脱水2次,每次5-10s。
10.二甲苯透明2次,每次1-2min,中性树胶封固。
二、冰冻切片
1.切片推荐厚度8-12μm,冰冻切片复温复水后用Bouin固定液室温过夜处理。(见注意事项3)
2.75%乙醇清洗切片至黄色完全褪去。
3.后续操作同石蜡切片第2-10步。(见注意事项4)

-
细胞核红褐色到棕褐色
-
胶原纤维、弹力纤维蓝色
-
肌肉纤维、红细胞红色
-
细胞浆及其他组织背景紫红色到红色

1.保存:2-28℃,避光
2.有效期:1年

1.切片脱蜡应尽量干净,避免着色不均。本染色原理与结构有关,须避免因组织切片过薄导致的不上色和组织切片过厚导致的整体颜色发暗,因此推荐切片厚度3-12μm。
2.组织类型和固定液选择对染色结果有很大影响,因此不同样本染色建议取少量切片进行预实验。
3.如无Bouin固定液也可使用Carnoy固定液Ⅱ代替进行过夜处理,使用Carnoy固定液Ⅱ过夜处理后75%乙醇浸洗2次,每次1min后即可正常染色。
4.冰冻切片由于细胞成分保留较完整,更容易吸附染料,因此建议使用弱酸工作液将苯胺蓝染色液稀释2-4倍后染色0.5-1min,弱酸工作液洗30s来避免过度蓝染。
5.本染液采用Weigert铁苏木素染细胞核,与常规苏木素核染色结果不一致属正常现象,因为染色的目的主要在于区分胶原纤维和肌纤维,一般也可以省略该染色步骤。
6.酸性分化液分化时间应该依据切片薄厚,组织的类别和新旧而定。
7.Masson蓝化液亦可自行购买Scott促蓝液或配制0.05-1%碳酸锂水溶液予以替代。
8.弱酸溶液可使色彩更清晰鲜艳,如使用量大可购买弱酸溶液或自行配置0.5-1%乙酸溶液予以替代。若苯胺蓝过染,可将第7步的弱酸清洗步骤改为蒸馏水清洗。
9.磷钼酸溶液易失效变色,正常呈淡黄色,如使用时已呈黄绿或发蓝建议弃用。
10.本试剂盒内除试剂A、F外试剂均可循环使用,循环次数按照0.8-1ml/切片计算。
11.苯胺蓝染色时间根据组织胶原纤维多少自行调整,通常含胶原纤维多的组织上色较快,反之则上色较慢需延长染色时间。
12.本产品仅供科研使用。请勿用于医药、临床诊断或治疗,食品及化妆品等用途。请勿存放于普通住宅区。
13.为了您的安全和健康,请穿好实验服并佩戴一次性手套和口罩操作。
14.实验结果可由多种因素影响,相关处理只限于产品本身,不涉及其他赔偿。
备注:由于产品信息可能会有优化升级,请以实际收货标签信息为准。