- 细胞类
- 生化试剂
- ELISA检测
-
抗体蛋白
二抗生物素标记 过氧化物酶(HRP)标记 胶体金试剂 FITC荧光标记 RBITC荧光标记 二抗免疫血清 其它荧光标记二抗 藻红蛋白(PE)荧光标记 胶体金(Gold)标记 SAlexa Fluor荧光系列 碱性磷酸酶(AP)标记 别藻蓝蛋白(APC)荧光标记 其它标记 PE标记二抗 DyLight标记二抗 AU标记二抗 Biotin标记二抗 AMCA标记二抗 Texas Red标记二抗 TRITC标记二抗 HRP标记二抗 未标记二抗 Cy标记二抗 AbBox Fluor标记二抗内参抗体 小分子抗体抗体标记试剂盒细菌抗体蛋白病毒包装试剂杂交瘤融合筛选WB、IHC、ELISA相关试剂细胞培养试剂病原微生物抗原抗体假病毒抗体校准品其他抗原抗体标记的标签抗体病理级IHC抗体重组蛋白
- 细胞培养
- 实验耗材
- 仪器设备
- 生化试剂盒
- 小分子试剂
- 基质胶
-
斑马鱼产品
订货时间:周一至周五
订货Q Q:79688691
订货邮件:79688691@qq.com
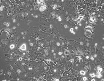
产品介绍HCC1954细胞专用培养基由我司精心优化,经过长期测试,本产品可保持HCC1954细胞最佳的生长状态。
本产品中已包含HCC1954细胞生长所需的各种成分,无需添加任何成分,可直接用于HCC1954细胞的培养。
产品主要成分-
RPMI-1640基础培养基445ML
-
特级胎牛血清50ML
-
P/S青霉素-链霉素5ML
储存与保存1.运输:放置于含有生物冰袋的保温箱中低温运输。
2.保存方法:2℃-8℃,避光,保存2个月;-20℃,避光,保存6个月。
注意事项1.收到产品请先检查包装是否完好,如有破损,漏液、浑浊等现象请及时联系我们,培养基冻融后,可能会有少量絮状物析出,不影响产品正常使用。
2.请仔细阅读产品说明书,了解产品使用方法、保存方式、有效期等信息,若因操作失误,保存不当而导致产品出现污染等问题的,责任由客户自行承担。
3.本产品仅能用于科研,培养基中的一些组分对人体有较低的危害性,如有接触立即用大量清水冲洗即可。
4.本产品仅供科研使用。请勿用于医药、临床诊断或治疗,食品及化妆品等用途。请勿存放于普通住宅区。
5.为了您的安全和健康,请穿好实验服并佩戴一次性手套和口罩操作。
6.实验结果可由多种因素影响,相关处理只限于产品本身,不涉及其他赔偿。
备注:由于产品信息可能会有优化升级。请以实际收货标签信息为准。










