- 细胞类
- 生化试剂
- ELISA检测
-
抗体蛋白
二抗生物素标记 过氧化物酶(HRP)标记 胶体金试剂 FITC荧光标记 RBITC荧光标记 二抗免疫血清 其它荧光标记二抗 藻红蛋白(PE)荧光标记 胶体金(Gold)标记 SAlexa Fluor荧光系列 碱性磷酸酶(AP)标记 别藻蓝蛋白(APC)荧光标记 其它标记 PE标记二抗 DyLight标记二抗 AU标记二抗 Biotin标记二抗 AMCA标记二抗 Texas Red标记二抗 TRITC标记二抗 HRP标记二抗 未标记二抗 Cy标记二抗 AbBox Fluor标记二抗内参抗体 小分子抗体抗体标记试剂盒细菌抗体蛋白病毒包装试剂杂交瘤融合筛选WB、IHC、ELISA相关试剂细胞培养试剂病原微生物抗原抗体假病毒抗体校准品其他抗原抗体标记的标签抗体病理级IHC抗体重组蛋白
- 细胞培养
- 实验耗材
- 仪器设备
- 生化试剂盒
- 小分子试剂
- 基质胶
-
斑马鱼产品
订货时间:周一至周五
订货Q Q:79688691
订货邮件:79688691@qq.com
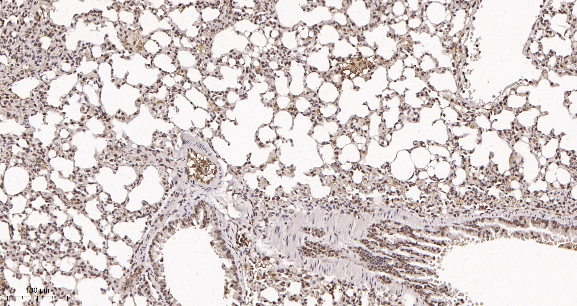
产品简介-
产品货号IM68881
-
别名ATF4;CREB2;TXREB;Cyclic AMP-dependent transcription factor ATF-4;cAMP-dependent transcription factor ATF-4;Activating transcription factor 4;Cyclic AMP-responsive element-binding protein 2;CREB-2;cAMP-responsive element-binding prot
-
产品名称ATF-4 (4Q4) Rabbit Monoclonal Antibody
-
类别抗体产品
-
基因名称ATF4
-
蛋白名称Cyclic AMP-dependent transcription factor ATF-4
-
ClonalityMonoclonal
-
推荐应用WB,IHC-P,IF-P,IF-F,IF-ICC,IP,ELISA
-
反应种属Human,Mouse,Rat
-
存储缓冲液PBS, 50% glycerol, 0.05% Proclin 300, 0.05%BSA
-
Human Gene ID468
-
Human Swissprot No.P18848
-
Mouse Gene ID11911
-
Mouse Swissprot No.Q06507
-
稀释度IHC-P 1:100-1:200,WB 1:1000-1:5000,IF-P/IF-F/IF-ICC 1:200-1:1000,ELISA 1:5000-1:20000,IP 1:50-1:200
-
参考分子量49kDa
-
预测分子量38kDa
-
宿主Rabbit
-
同种型Monoclonal, rabbit, IgG, Kappa
-
背景介绍activating transcription factor 4(ATF4) Homo sapiens This gene encodes a transcription factor that was originally identified as a widely expressed mammalian DNA binding protein that could bind a tax-responsive enhancer element in the LTR of HTLV-1. The encoded protein was also isolated and characterized as the cAMP-response element binding protein 2 (CREB-2). The protein encoded by this gene belongs to a family of DNA-binding proteins that includes the AP-1 family of transcription factors, cAMP-response element binding proteins (CREBs) and CREB-like proteins. These transcription factors share a leucine zipper region that is involved in protein-protein interactions, located C-terminal to a stretch of basic amino acids that functions as a DNA binding domain. Two alternative transcripts encoding the same protein have been described. Two pseudogenes are located on the X chromosome at q28 in a region containing a large inverted duplication. [provid
-
功能function:Transcriptional activator. Binds the cAMP response element (CRE) (consensus: 5'-GTGACGT[AC][AG]-3'), a sequence present in many viral and cellular promoters. It binds to a Tax-responsive enhancer element in the long terminal repeat of HTLV-I.,similarity:Belongs to the bZIP family.,similarity:Contains 1 bZIP domain.,subcellular location:Colocalizes with GABBR1 in hippocampal neuron dendritic membranes.,subunit:Interacts with the C-terminal region of GABBR1 via the leucine zipper of its C-terminal bZIP domain. Interacts with the C-terminal region of GABBR2 (By similarity). Binds DNA as a homo-or heterodimer. Interacts with the N-terminal region of CEP290.
-
纯化Protein A
储存与保存1.保存:-20℃
2.有效期:1年
注意事项1.我司生产的生化试剂如无特殊标注,基本为非无菌包装,若用于细胞实验,请提前做好预处理。需低温保存的产品,一旦配成溶液,请分装保存,避免反复冻融造成的产品失效。
2.本产品仅供科研使用。请勿用于医药、临床诊断或治疗,食品及化妆品等用途。请勿存放于普通住宅区。
3.为了您的安全和健康,请穿好实验服并佩戴一次性手套和口罩操作。
4.实验结果可由多种因素影响,相关处理只限于产品本身,不涉及其他赔偿。
备注:由于产品信息可能会有优化升级,请以实际收货标签信息为准。







