- 细胞类
- 生化试剂
- ELISA检测
-
抗体蛋白
二抗生物素标记 过氧化物酶(HRP)标记 胶体金试剂 FITC荧光标记 RBITC荧光标记 二抗免疫血清 其它荧光标记二抗 藻红蛋白(PE)荧光标记 胶体金(Gold)标记 SAlexa Fluor荧光系列 碱性磷酸酶(AP)标记 别藻蓝蛋白(APC)荧光标记 其它标记 PE标记二抗 DyLight标记二抗 AU标记二抗 Biotin标记二抗 AMCA标记二抗 Texas Red标记二抗 TRITC标记二抗 HRP标记二抗 未标记二抗 Cy标记二抗 AbBox Fluor标记二抗内参抗体 小分子抗体抗体标记试剂盒细菌抗体蛋白病毒包装试剂杂交瘤融合筛选WB、IHC、ELISA相关试剂细胞培养试剂病原微生物抗原抗体假病毒抗体校准品其他抗原抗体标记的标签抗体病理级IHC抗体重组蛋白
- 细胞培养
- 实验耗材
- 仪器设备
- 生化试剂盒
- 小分子试剂
- 基质胶
-
斑马鱼产品
订货时间:周一至周五
订货Q Q:79688691
订货邮件:79688691@qq.com
产品简介-
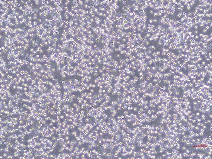
产品介绍核因子-κB (NF-κB)/Rel 蛋白家族由五个成员组成:NF-κB2 p52/p100、NF-κB1 p50/p105、c-Rel、RelA/p65 和 RelB。这些蛋白通过形成同源或异源二聚体发挥转录因子功能,广泛调控多种生物学过程,包括先天性和适应性免疫应答、炎症反应、细胞应激反应、B 细胞发育以及淋巴器官形成等重要生理病理过程。在经典的 NF-κB 信号通路中,NF-κB/Rel 蛋白通常与抑制性 IκB 蛋白结合而处于失活状态。当细胞受到促炎细胞因子(如 TNF-α、IL-1β)、脂多糖 (LPS)、生长因子或抗原受体刺激时,会激活 IKK 复合体(由 IKKβ、IKKα 和调节亚基 NEMO 组成)。活化的 IKK 复合体促使 IκB 蛋白发生磷酸化修饰,进而触发 IκB 的泛素化降解过程,最终导致 NF-κB/Rel 复合体的释放。释放后的 NF-κB/Rel 复合体还需经过一系列翻译后修饰(包括磷酸化、乙酰化和糖基化等)才能获得完全活性。随后,这些活化复合体转位至细胞核内,既可单独作用,也能与其他关键转录因子(如 AP-1、Ets 和 Stat 家族成员)协同作用,共同调控下游靶基因的表达,从而实现对多种生理病理过程的精确调控。 NFKB Reporter THP1 Cell Line 细胞系以 THP1 为工具细胞,采用慢病毒感染的方式,构建稳定表达NF-κB-Luc报告基因的细胞系,可用于检测NF-κB信号转导。在被PMA(PKC特异性激活剂)激活后,内源性NF-κB转录因子与DNA反应元件结合,诱导荧光素酶报告基因的转录。
-
规格T25瓶或者1mL冻存管包装
-
种属人源
-
组织来源急性单核细胞白血病
-
细胞形态圆形,单个或呈片
-
生长特性悬浮生长
培养和冻存
运输和保存1.T25瓶复苏的存活细胞常温发货,收到后请按照细胞接收后的处理方法操作。
2.1mL冻存管包装干冰运输,收到后需放入-80度冰箱保存过夜后转入液氮或直接复苏。
收货须知1.收到细胞后,请立即进行检查若发现干冰已挥发干净、冻存管瓶盖脱落、破损及细胞有污染等情况请立即与我司工作人员联系。
2.收到细胞先不开瓶盖,瓶身擦拭酒精后放在培养箱静置2-4小时(视细胞密度而定)稳定细胞状态。接着在倒置显微镜下观察细胞生长情况,并对细胞进行不同倍数拍照(建议收细胞时就整体外观拍一张照片,并观察培养基的颜色以及是否有漏液等情况,随后在显微镜下拍下细胞状态,100*,200*各一张),观察并记录细胞在运输途中是否有污染情况。以上操作可作为我司进行售后服务的依据。
3.由于细胞状态受环境、操作和运输等多方面因素影响,故本司只保证客户收到细胞后一周内的细胞状态,故客户需进行售后服务时需出示收细胞的时间证明及客户提供收货时间和发现问题后与我司工作人员沟通的时间证明,期间间隔时间不能大于7天。
4.所有动物细胞均视为有潜在的生物危害性,必须在二级生物安全台内操作,并请注意防护,所有废液及接触过此细胞的器皿需要灭菌后方能丢弃。
售后说明
注意事项1.我司生产的生化试剂如无特殊标注,基本为非无菌包装,若用于细胞实验,请提前做好预处理。需低温保存的产品,一旦配成溶液,请分装保存,避免反复冻融造成的产品失效。
2.本产品仅供科研使用。请勿用于医药、临床诊断或治疗,食品及化妆品等用途。请勿存放于普通住宅区。
3.为了您的安全和健康,请穿好实验服并佩戴一次性手套和口罩操作。
4.实验结果可由多种因素影响,相关处理只限于产品本身,不涉及其他赔偿。
备注:由于产品信息可能会有优化升级,请以实际收货标签信息为准。











