- 细胞类
- 生化试剂
- ELISA检测
-
抗体蛋白
二抗生物素标记 过氧化物酶(HRP)标记 胶体金试剂 FITC荧光标记 RBITC荧光标记 二抗免疫血清 其它荧光标记二抗 藻红蛋白(PE)荧光标记 胶体金(Gold)标记 SAlexa Fluor荧光系列 碱性磷酸酶(AP)标记 别藻蓝蛋白(APC)荧光标记 其它标记 PE标记二抗 DyLight标记二抗 AU标记二抗 Biotin标记二抗 AMCA标记二抗 Texas Red标记二抗 TRITC标记二抗 HRP标记二抗 未标记二抗 Cy标记二抗 AbBox Fluor标记二抗内参抗体 小分子抗体抗体标记试剂盒细菌抗体蛋白病毒包装试剂杂交瘤融合筛选WB、IHC、ELISA相关试剂细胞培养试剂病原微生物抗原抗体假病毒抗体校准品其他抗原抗体标记的标签抗体病理级IHC抗体重组蛋白
- 细胞培养
- 实验耗材
- 仪器设备
- 生化试剂盒
- 小分子试剂
- 基质胶
-
斑马鱼产品
订货时间:周一至周五
订货Q Q:79688691
订货邮件:79688691@qq.com
产品简介-
货号IM51524
-
别名ITGB4; Integrin beta-4; GP150; CD antigen CD104
-
产品名称Integrin β4 (phospho Tyr1510) Rabbit Polyclonal Antibody
-
类别抗体产品
-
基因名称ITGB4
-
蛋白名称Integrin beta-4
-
ClonalityPolyclonal
-
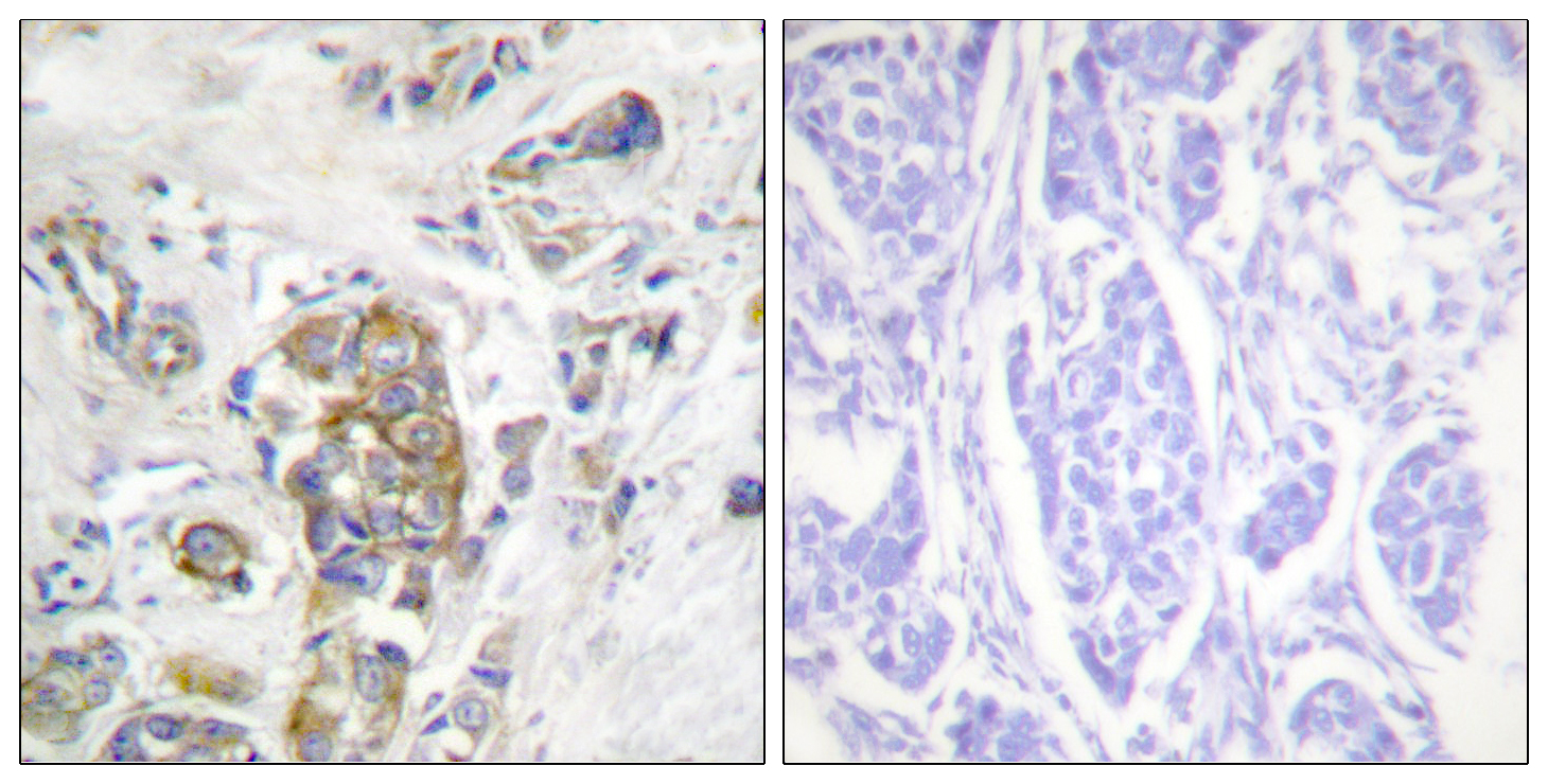
推荐应用WB,IHC-P,IF-P,IF-F,IF-ICC,ELISA
-
反应种属Human,Mouse,Rat
-
浓度1 mg/ml
-
存储缓冲液Liquid in PBS containing 50% glycerol, 0.5% BSA and 0.02% New type preservative N.
-
Human Gene ID3691
-
Human Swissprot No.P16144
-
Mouse Swissprot No.A2A863
-
Rat Gene ID25724
-
Rat Swissprot No.Q64632
-
免疫原The antiserum was produced against synthesized peptide derived from human ITGB4 around the phosphorylation site of Tyr1510. AA range:1481-1530
-
特异性Phospho-Integrin β4 (Y1510) Polyclonal Antibody detects endogenous levels of Integrin β4 protein only when phosphorylated at Y1510.
-
稀释度WB 1:500-1:2000, IHC-P 1:100-1:300, ELISA 1:10000, IF-P/IF-F/IF-ICC 1:50-200
-
预测分子量202kDa
-
宿主Rabbit
-
同种型Rabbit,IgG
-
背景介绍Integrins are heterodimers comprised of alpha and beta subunits, that are noncovalently associated transmembrane glycoprotein receptors. Different combinations of alpha and beta polypeptides form complexes that vary in their ligand-binding specificities. Integrins mediate cell-matrix or cell-cell adhesion, and transduced signals that regulate gene expression and cell growth. This gene encodes the integrin beta 4 subunit, a receptor for the laminins. This subunit tends to associate with alpha 6 subunit and is likely to play a pivotal role in the biology of invasive carcinoma. Mutations in this gene are associated with epidermolysis bullosa with pyloric atresia. Multiple alternatively spliced transcript variants encoding distinct isoforms have been found for this gene. [provided by RefSeq, Jul 2008],
-
组织表达Integrin alpha-6/beta-4 is predominantly expressed by epithelia. Isoform beta-4D is also expressed in colon and placenta. Isoform beta-4E is also expressed in epidermis, lung, duodenum, heart, spleen and stomach.
-
细胞定位Cell membrane; Single-pass type I membrane protein. Cell membrane; Lipid-anchor. Cell junction, hemidesmosome. Colocalizes with DST at the leading edge of migrating keratinocytes.
-
信号通路Focal adhesion;ECM-receptor interaction;Regulates Actin and Cytoskeleton;Hypertrophic cardiomyopathy (HCM);Arrhythmogenic right ventricular cardiomyopathy (ARVC);Dilated cardiomyopathy;
-
功能disease:Defects in ITGB4 are a cause of epidermolysis bullosa letalis with pyloric atresia (EB-PA) [MIM:226730]; also known as junctional epidermolysis bullosa with pyloric atresia (PA-JEB) or aplasia cutis congenita with gastrointestinal atresia. EB-PA is an autosomal recessive, frequently lethal, epidermolysis bullosa with variable involvement of skin, nails, mucosa, and with variable effects on the digestive system. It is characterized by mucocutaneous fragility, aplasia cutis congenita, and gastrointestinal atresia, which most commonly affects the pylorus. Pyloric atresia is a primary manifestation rather than a scarring process secondary to epidermolysis bullosa.,disease:Defects in ITGB4 are a cause of generalized atrophic benign epidermolysis bullosa (GABEB) [MIM:226650]. GABEB is a non-lethal, adult form of junctional epidermolysis bullosa characterized by life-long blistering of the skin, associated with hair and tooth abnormalities.,domain:The fibronectin type-III-like domains bind BPAG1 and plectin and probably also recruit BP230.,function:Integrin alpha-6/beta-4 is a receptor for laminin. It plays a critical structural role in the hemidesmosome of epithelial cells.,similarity:Belongs to the integrin beta chain family.,similarity:Contains 1 Calx-beta domain.,similarity:Contains 1 VWFA domain.,similarity:Contains 4 fibronectin type-III domains.,subunit:Heterodimer of an alpha and a beta subunit. Beta-4 associates with alpha-6.,tissue specificity:Integrin alpha-6/beta-4 is predominantly expressed by epithelia. Isoform beta-4D is also expressed in colon and placenta. Isoform beta-4E is also expressed in epidermis, lung, duodenum, heart, spleen and stomach.,
-
纯化The antibody was affinity-purified from rabbit antiserum by affinity-chromatography using epitope-specific immunogen.
储存与保存1.保存:-20℃
2.有效期:1年
注意事项1.我司生产的生化试剂如无特殊标注,基本为非无菌包装,若用于细胞实验,请提前做好预处理。需低温保存的产品,一旦配成溶液,请分装保存,避免反复冻融造成的产品失效。
2.本产品仅供科研使用。请勿用于医药、临床诊断或治疗,食品及化妆品等用途。请勿存放于普通住宅区。
3.为了您的安全和健康,请穿好实验服并佩戴一次性手套和口罩操作。
4.实验结果可由多种因素影响,相关处理只限于产品本身,不涉及其他赔偿。
备注:由于产品信息可能会有优化升级,请以实际收货标签信息为准。








