- 细胞类
- 生化试剂
- ELISA检测
-
抗体蛋白
二抗生物素标记 过氧化物酶(HRP)标记 胶体金试剂 FITC荧光标记 RBITC荧光标记 二抗免疫血清 其它荧光标记二抗 藻红蛋白(PE)荧光标记 胶体金(Gold)标记 SAlexa Fluor荧光系列 碱性磷酸酶(AP)标记 别藻蓝蛋白(APC)荧光标记 其它标记 PE标记二抗 DyLight标记二抗 AU标记二抗 Biotin标记二抗 AMCA标记二抗 Texas Red标记二抗 TRITC标记二抗 HRP标记二抗 未标记二抗 Cy标记二抗 AbBox Fluor标记二抗内参抗体 小分子抗体抗体标记试剂盒细菌抗体蛋白病毒包装试剂杂交瘤融合筛选WB、IHC、ELISA相关试剂细胞培养试剂病原微生物抗原抗体假病毒抗体校准品其他抗原抗体标记的标签抗体病理级IHC抗体重组蛋白
- 细胞培养
- 实验耗材
- 仪器设备
- 生化试剂盒
- 小分子试剂
- 基质胶
-
斑马鱼产品
订货时间:周一至周五
订货Q Q:79688691
订货邮件:79688691@qq.com
产品简介-
产品货号IM68920
-
别名DNM1L;DLP1;DRP1;Dynamin-1-like protein;Dnm1p/Vps1p-like protein;DVLP;Dynamin family member proline-rich carboxyl-terminal domain less;Dymple;Dynamin-like protein;Dynamin-like protein 4;Dynamin-like protein IV;HdynIV;Dynamin-rela
-
产品名称DRP1 (5F8) Rabbit Monoclonal Antibody
-
类别抗体产品
-
基因名称DNM1L
-
蛋白名称Dynamin-1-like protein
-
ClonalityMonoclonal
-
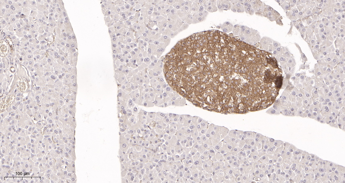
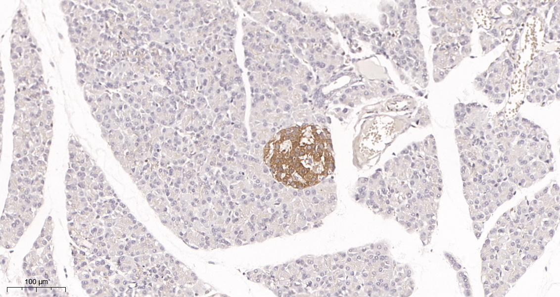
推荐应用WB,IHC-P,IF-P,IF-F,IF-ICC,IP,ELISA
-
反应种属Human,Mouse,Rat
-
存储缓冲液PBS, 50% glycerol, 0.05% Proclin 300, 0.05%BSA
-
Human Gene ID10059
-
Human Swissprot No.O00429
-
Mouse Gene ID74006
-
Mouse Swissprot No.Q8K1M6
-
Rat Gene ID114114
-
Rat Swissprot No.O35303
-
稀释度IHC-P 1:200-1000,WB 1:1000-5000,IF-P/IF-F/IF-ICC 1:200-1000,ELISA 1:5000-20000,IP 1:50-200
-
参考分子量83kDa
-
预测分子量83kDa
-
宿主Rabbit
-
同种型Monoclonal, rabbit, IgG, Kappa
-
背景介绍This gene encodes a member of the dynamin superfamily of GTPases. The encoded protein mediates mitochondrial and peroxisomal division, and is involved in developmentally regulated apoptosis and programmed necrosis. Dysfunction of this gene is implicated in several neurological disorders, including Alzheimer's disease. Mutations in this gene are associated with the autosomal dominant disorder, encephalopathy, lethal, due to defective mitochondrial and peroxisomal fission (EMPF). Alternative splicing results in multiple transcript variants encoding different isoforms. [provided by RefSeq, Jun 2013].
-
信号通路Endocytosis;Fc gamma R-mediated phagocytosis
-
功能catalytic activity:GTP + H(2)O = GDP + phosphate.,function:Functions in mitochondrial and peroxisomal division probably by regulating membrane fission. Enzyme hydrolyzing GTP that oligomerizes to form ring-like structures and is able to remodel membranes. May also play a role on organelles of the secretory pathway.,miscellaneous:Isoform 1 and isoform 2 inhibits peroxisomal division when overexpressed while isoform 3 and isoform 4 have no effect.,PTM:Phosphorylated by GSK3B.,similarity:Belongs to the dynamin family.,similarity:Contains 1 GED domain.,subcellular location:Mainly cytosolic. Also membrane-associated. Localizes to mitochondria at spots of division events. Associated with peroxisomal membranes, it is recruited in part by PEX11B. May also be associated with endoplasmic reticulum tubules and cytoplasmic vesicles and found to be perinuclear.,subunit:Homotetramer; N-terminal part binds to the C-terminal part of another DNM1L. Can self-assemble in multimeric ring-like structures. Interacts with FIS1 (By similarity). Interacts with GSK3B.,tissue specificity:Ubiquitously expressed with highest levels found in skeletal muscles, heart, kidney and brain. Isoform 1 is brain-specific while isoform 3 and isoform 4 are predominantly expressed in testis and skeletal muscles respectively. Isoform 2 is weakly expressed in brain, heart and kidney and isoform 5 is dominantly expressed in liver, heart and kidney.
-
纯化Protein A
储存与保存1.保存:-20℃
2.有效期:1年
注意事项1.我司生产的生化试剂如无特殊标注,基本为非无菌包装,若用于细胞实验,请提前做好预处理。需低温保存的产品,一旦配成溶液,请分装保存,避免反复冻融造成的产品失效。
2.本产品仅供科研使用。请勿用于医药、临床诊断或治疗,食品及化妆品等用途。请勿存放于普通住宅区。
3.为了您的安全和健康,请穿好实验服并佩戴一次性手套和口罩操作。
4.实验结果可由多种因素影响,相关处理只限于产品本身,不涉及其他赔偿。
备注:由于产品信息可能会有优化升级,请以实际收货标签信息为准。









