- 细胞类
- 生化试剂
- ELISA检测
-
抗体蛋白
二抗生物素标记 过氧化物酶(HRP)标记 胶体金试剂 FITC荧光标记 RBITC荧光标记 二抗免疫血清 其它荧光标记二抗 藻红蛋白(PE)荧光标记 胶体金(Gold)标记 SAlexa Fluor荧光系列 碱性磷酸酶(AP)标记 别藻蓝蛋白(APC)荧光标记 其它标记 PE标记二抗 DyLight标记二抗 AU标记二抗 Biotin标记二抗 AMCA标记二抗 Texas Red标记二抗 TRITC标记二抗 HRP标记二抗 未标记二抗 Cy标记二抗 AbBox Fluor标记二抗内参抗体 小分子抗体抗体标记试剂盒细菌抗体蛋白病毒包装试剂杂交瘤融合筛选WB、IHC、ELISA相关试剂细胞培养试剂病原微生物抗原抗体假病毒抗体校准品其他抗原抗体标记的标签抗体病理级IHC抗体重组蛋白
- 细胞培养
- 实验耗材
- 仪器设备
- 生化试剂盒
- 小分子试剂
- 基质胶
-
斑马鱼产品
订货时间:周一至周五
订货Q Q:79688691
订货邮件:79688691@qq.com
产品简介-
产品货号IM68929
-
别名RAD21;HR21;KIAA0078;NXP1;Double-strand-break repair protein rad21 homolog;hHR21;Nuclear matrix protein 1;NXP-1;SCC1 homolog
-
产品名称Rad21 (16H8) Rabbit Monoclonal Antibody
-
类别抗体产品
-
基因名称RAD21
-
蛋白名称Double-strand-break repair protein rad21 homolog
-
ClonalityMonoclonal
-
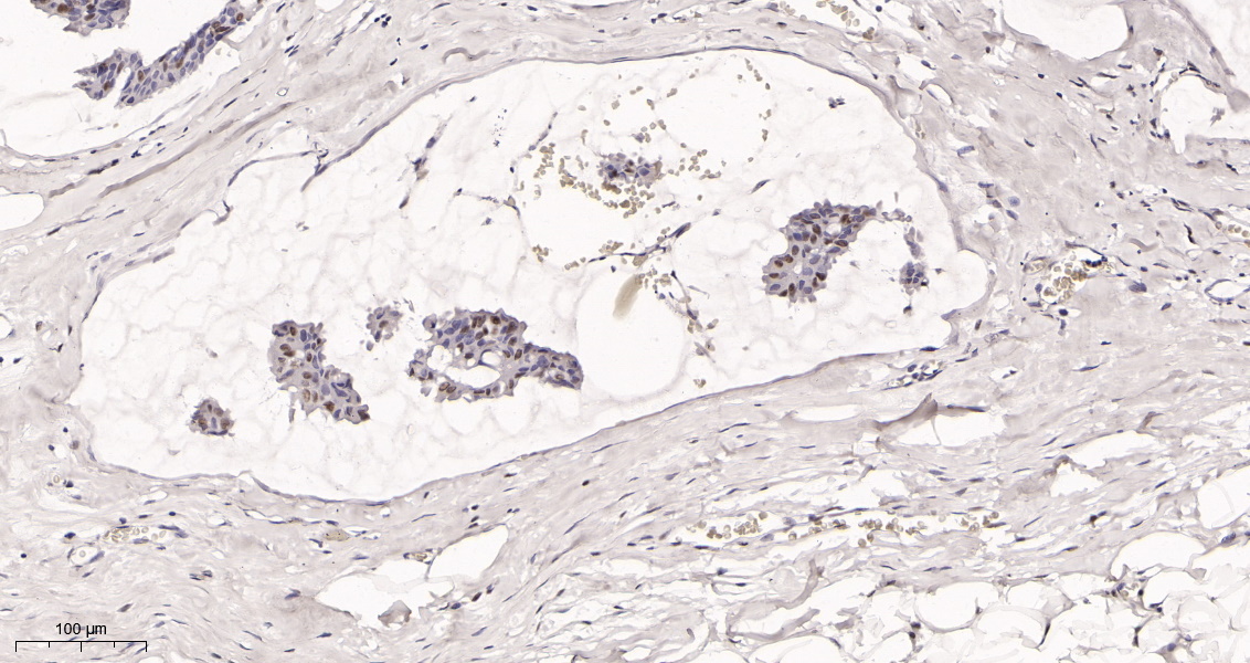
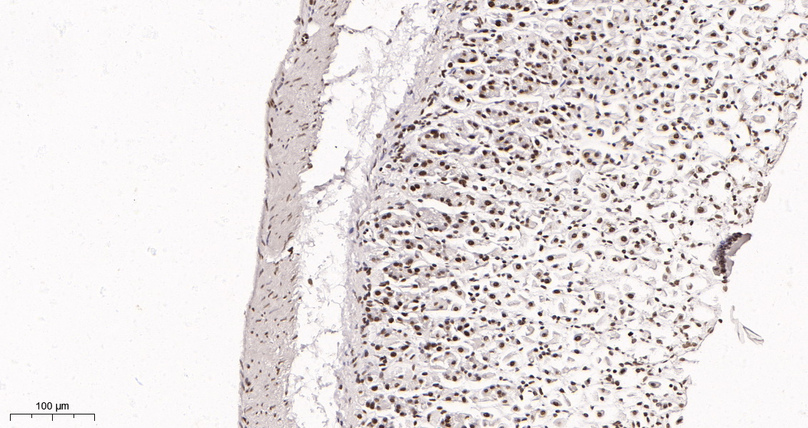
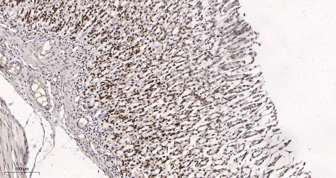
推荐应用WB,IHC-P,IF-P,IF-F,IF-ICC,IP,ELISA
-
反应种属Human,Mouse,Rat
-
存储缓冲液PBS, 50% glycerol, 0.05% Proclin 300, 0.05%BSA
-
Human Gene ID5885
-
Human Swissprot No.O60216
-
Mouse Gene ID19357
-
Mouse Swissprot No.Q61550
-
稀释度IHC-P 1:200-1000,WB 1:1000-5000,IF-P/IF-F/IF-ICC 1:200-1000,ELISA 1:5000-20000,IP 1:50-200
-
参考分子量130kDa
-
预测分子量72kDa
-
宿主Rabbit
-
同种型Monoclonal, rabbit, IgG, Kappa
-
背景介绍The protein encoded by this gene is highly similar to the gene product of Schizosaccharomyces pombe rad21, a gene involved in the repair of DNA double-strand breaks, as well as in chromatid cohesion during mitosis. This protein is a nuclear phospho-protein, which becomes hyperphosphorylated in cell cycle M phase. The highly regulated association of this protein with mitotic chromatin specifically at the centromere region suggests its role in sister chromatid cohesion in mitotic cells. [provided by RefSeq, Jul 2008].
-
信号通路Cell_Cycle_G1S;Cell_Cycle_G2M_DNA.
-
功能domain:The C-terminal part associates with the head of SMC1A, while the N-terminal part binds to the head of SMC3.,function:Cleavable component of the cohesin complex, involved in chromosome cohesion during cell cycle, in DNA repair, and in apoptosis. The cohesin complex is required for the cohesion of sister chromatids after DNA replication. The cohesin complex apparently forms a large proteinaceous ring within which sister chromatids can be trapped. At metaphase-anaphase transition, this protein is cleaved by separase/ESPL1 and dissociates from chromatin, allowing sister chromatids to segregate. The cohesin complex may also play a role in spindle pole assembly during mitosis. Also plays a role in apoptosis, via its cleavage by caspase-3/CASP3 or caspase-7/CASP7 during early steps of apoptosis: the C-terminal 64 kDa cleavage product may act as a nuclear signal to initiate cytoplasmic events involved in the apoptotic pathway.,polymorphism:Some radiosensitive cancer patients seem to have Arg-481 instead of the conserved Gly-481. It may be that this mutation could contribute to radiosensitivity.,PTM:Cleaved by separase/ESPL1 at the onset of anaphase. Cleaved by caspase-3 and caspase-7 at the beginning of apoptosis. The cleavage by ESPL1 and caspase-3 take place at different sites.,PTM:Phosphorylated; becomes hyperphosphorylated in M phase of cell cycle. The large dissociation of cohesin from chromosome arms during prophase may be partly due to its phosphorylation by PLK.,similarity:Belongs to the rad21 family.,subcellular location:Associates with chromatin. Before prophase it is scattered along chromosome arms. During prophase, most of cohesin complexes dissociate from chromatin probably because of phosphorylation by PLK, except at centromeres, where cohesin complexes remain. At anaphase, it is cleaved by separase/ESPL1, leading to the dissociation of the complex from chromosomes, allowing chromosome separation. Once cleaved by caspase-3, the C-terminal 64 kDa cleavage product translocates to the cytoplasm, where it may trigger apoptosis.,subunit:Cohesin complexes are composed of the SMC1 (SMC1A or SMC1B) and SMC3 heterodimer attached via their hinge domain, RAD21 which link them, and one STAG protein (STAG1, STAG2 or STAG3), which interacts with RAD21. Found in a complex with SMC1A, SMC3, CDCA5, PDS5A/APRIN and PDS5B/SCC-112.
-
纯化Protein A
储存与保存1.保存:-20℃
2.有效期:1年
注意事项1.我司生产的生化试剂如无特殊标注,基本为非无菌包装,若用于细胞实验,请提前做好预处理。需低温保存的产品,一旦配成溶液,请分装保存,避免反复冻融造成的产品失效。
2.本产品仅供科研使用。请勿用于医药、临床诊断或治疗,食品及化妆品等用途。请勿存放于普通住宅区。
3.为了您的安全和健康,请穿好实验服并佩戴一次性手套和口罩操作。
4.实验结果可由多种因素影响,相关处理只限于产品本身,不涉及其他赔偿。
备注:由于产品信息可能会有优化升级,请以实际收货标签信息为准。








